Sempre più spesso ci capita di avere a che fare con pazienti ai quali è stato detto di dover estrarre per forza uno o più denti, ma la verità è che, con le giuste tecniche e competenze, nella stragrande maggioranza dei casi è ancora possibile intervenire e salvare i loro denti naturali.
L'Approccio Salvadente che utilizziamo qui allo Studio Dentistico Angelinici consente infatti, tramite specifici strumenti di ultima generazione, di eliminare i batteri che si sono accumulati nell'area in cui la gengiva incontra il dente, ovvero la cosiddetta "tasca parodontale".
Andremo ad eseguire una Disinfezione Profonda, indolore e non chirurgica,attraverso delle sedute settimanali, il cui numero varia in base allo stadio della malattia.
In questo modo siamo in grado di curare la parodontite e salvare quei denti che altrimenti sarebbero andati persi o estratti.
Grazie all'Approccio Salvadente nel giro di poche settimane i tuoi denti naturali torneranno sani e forti e non dovrai effettuare nessuna estrazione.
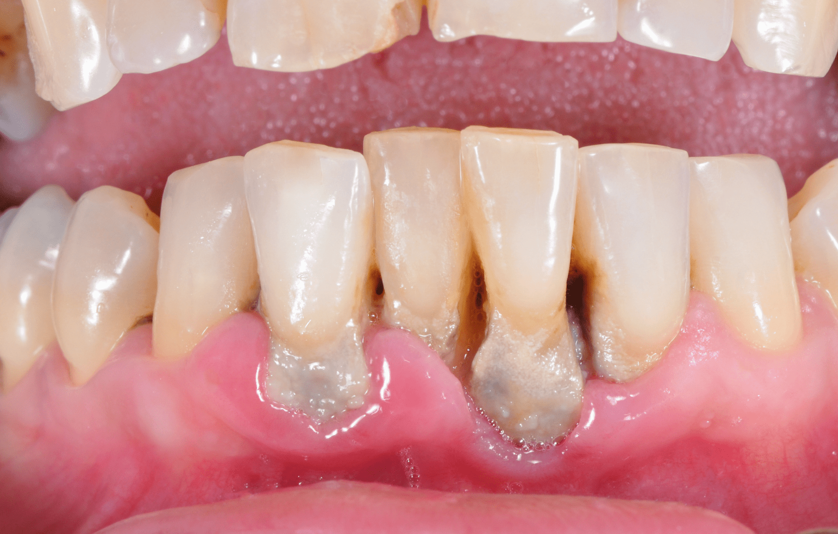
Sempre più spesso ci capita di avere a che fare con pazienti ai quali è stato detto di dover estrarre per forza uno o più denti, ma la verità è che, con le giuste tecniche e competenze, nella stragrande maggioranza dei casi è ancora possibile intervenire e salvare i loro denti naturali.
L'Approccio Salvadente che utilizziamo qui allo Studio Dentistico Angelini ci consente infatti, tramite specifici strumenti di ultima generazione, di eliminare i batteri che si sono accumulati nell'area in cui la gengiva incontra il dente, ovvero la cosiddetta "tasca parodontale".
Andremo ad eseguire una Disinfezione Profonda, indolore e non chirurgica, attraverso delle sedute settimanali, il cui numero varia in base allo stadio della malattia.
In questo modo siamo in grado di curare la parodontite e salvare quei denti che altrimenti sarebbero andati persi o estratti.
Grazie all'Approccio Salvadente nel giro di poche settimane i tuoi denti naturali torneranno sani e forti e non dovrai effettuare nessuna estrazione.
Il nostro approccio ci consente in molti casi di curare i tuoi denti senza dover estrarli per inserire gli impianti dentali.
Ricorda che per quanto i denti artificiali possano essere fatti in maniera ottimale, non saranno mai come i tuoi denti naturali.
Sebbene per noi dentisti inserire un impianto dentale possa essere economicamente più vantaggioso e meno dispendioso a livello di tempo, qui allo Studio Dentistico Angelini abbiamo una filosofia "proponiamo al paziente esattamente ciò che faremmo noi nella nostra bocca".
Perciò cerchiamo di evitare quante più estrazioni possibili (quando le condizioni cliniche del paziente lo consentono). Da questa volontà nasce l'Approccio Salvadente.
- TRATTAMENTO MINI-INVASIVO
La profonda pulizia che andremo ad eseguire per rimuovere l'accumulo di batteri presenti nella "tasca parodontale" sarà del tutto indolore.
Infatti grazie ai nostri strumenti di ultima generazione siamo in grado di procedere in maniera NON chirurgica e del tutto mini-invasiva.
*This Website is not a part of Facebook or Facebook Inc. Additionally, this site is NOT endorsed by Facebook in any way. FACEBOOK is a trademark of FACEBOOK Inc. Questo sito non fa parte del sito Facebook o Facebook Inc. Inoltre, questo sito NON è approvato da Facebook in alcun modo. FACEBOOK è un marchio registrato di FACEBOOK, Inc.